/ PREVENTION

【ワクチン予防】

狂犬病予防ワクチン

生後91日齢以上の犬は1年に1度の接種になります。
『狂犬病予防法』に定められていますので必ず接種しましょう。

混合ワクチン

生後2ヶ月を経過した幼犬および幼猫にとって重要な予防の一つです。適切なワクチンプログラムで予防する必要があります。 成犬および成猫の場合は1年に一度の追加接種で恐ろしい伝染病から守ってあげる事ができます。

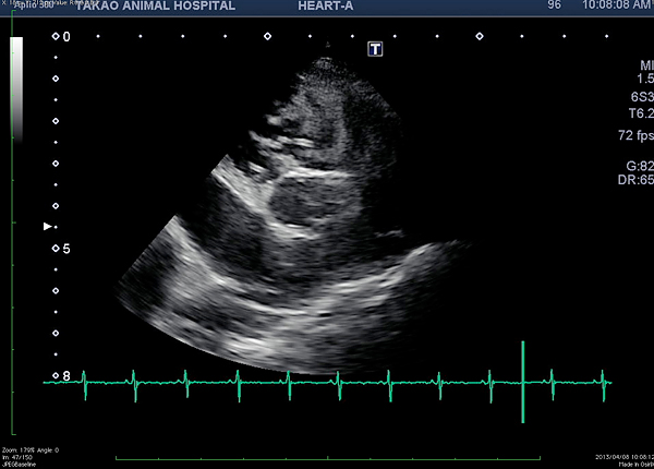
【フィラリア症予防】

フィラリアとは蚊から媒介され、肺や心臓に寄生する虫です。フィラリアの寄生により肺炎や肺動脈塞栓などを起こし、 その結果、肺高血圧症を引き起こします。月に1度の予防薬の投薬で予防できます。最近では猫の感染報告も増えてきました。 フィラリア症になると完治させる方法がありません。きちんとした予防が必要です。当院では猫のフィラリア症予防も行っています。

※画像はクリックすると拡大されます。

  • フィラリアによるベナケバシンドローム(右心房内のフィラリア虫体)

  • フィラリアによるベナケバシンドロームの症例から摘出した虫体

【ノミ・ダニ予防】

皮膚炎だけでなく、伝染病になる場合もあります。 特にマダニ(フタトゲチマダニなど)からもたらされる伝染病は恐ろしい病気(バベシア症など)があります。 また、最近人の感染症で話題になっている【SFTS:重症熱性血小板減少症候群】もマダニが媒介します。薬剤の定期的な投薬によって予防できます。

※画像はクリックすると拡大されます。

  • 吸血後のマダニ

【避妊・去勢】

成熟前(5~6ヶ月齢)の手術が良いとされています。

メリット

性ホルモン関連の病気の予防

犬:乳腺腫瘍(♀)、子宮・卵巣疾患(♀)、前立腺疾患(♂)など
猫:乳腺腫瘍(♀)、子宮・卵巣疾患(♀)など

問題行動(100%効果がある訳ではありません)

犬:尿のマーキング(♂、♀)、マウンティング(♂)、放浪癖(♂)、一部の攻撃行動(♂)、一部の不安行動(♀)の改善
猫:尿のマーキング(♂、♀)、猫同士の攻撃行動(♂)、発情期の鳴き声(♀)、一部の不安行動(♀)

不適切な交配の予防

デメリット

全身麻酔による手術リスク
術後の肥満傾向
稀に性ホルモン失調による尿失禁などの症状が出る事がある

当院ではより安全に手術を行うため、術前検査(術前検査:血液検査、胸部レントゲン、心電図)を行って手術する事を心掛けています。 (別途費用が必要)
術前検査の結果によっては治療優先のため手術が延期になる場合もございます。

【定期検診】

病気の早期発見・早期治療につながります。
特にシニア(7歳齢以上)のペットは半年から1年に1度の検診を受けられる事が望ましいとされています。