/ CONGENITAL DISEASE

【先天性心疾患とは】

生まれつき心臓にトラブルを抱えている心疾患です。代表的な疾患として以下のようなものがあります。

心房中隔欠損(ASD)

左心房と右心房を隔てている心房中隔が欠損する事により、右心系と左心系の血液が交流します。 通常、左心房の血液が右心房に流れ込み、ひどくなると肺血管の血液量増加によって肺高血圧症が起こります。治療は外科手術になります。
診断も右心房・左心房ともに内圧が低く、圧較差もエコー検査での検出は困難な場合がほとんどです。
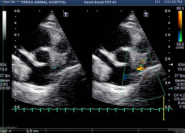
下記は当院での実際の症例です。 この症例は猫ですが、肥大型心筋症も合併していたため左心房圧の上昇によりエコー検査において心房中隔欠損が診断できた症例です。

※画像はクリックすると拡大されます。

  • 図1 心房中隔から左心房から右心房内に短絡血流が認められます。

  • 図2 肺体血流比(Qp/Qs)の増大があります。

  • 図3 肺体血流比(Qp/Qs)の増大があります。


心室中隔欠損(VSD)

上記の心房中隔欠損症と同じく、心室中隔が欠損する事により起こる疾患です。 通常、心房中隔欠損症より左心系から右心系に流入する血液量が多いため、肺血管の血液量増加によって肺高血圧症が起こる率が高い病気です。
Kirklin分類のⅡ型(膜様部欠損)が発生上一番多いです。
治療は心房中隔欠損症と同じく外科手術になります。
下記は当院での実際の症例です。ワクチン接種時の健康診断にて心雑音が聴取され、検査を行い診断いたしました。

※画像はクリックすると拡大されます。

  • 図4 心室中隔壁に左心室から右心室への短絡血流が認められます。

  • 図5 図4の短軸像です。短絡血流が認められます。


肺動脈弁狭窄(PS)

肺動脈弁の異常や弁下部の異常により右心室から肺動脈へ血液が流れる流出路に狭窄をきたし、右心系に圧力の負荷がかかってしまう病態です。 治療には外科的な介入が必要です。
下記は当院での実際の症例です。この症例もワクチン接種時の健康診断にて心雑音が聴取され、検査を行い診断しました。 狭窄部位の血流速が7.0m/secを超えており、重度の肺動脈弁狭窄と診断いたしました。

※画像はクリックすると拡大されます。

  • 図6 肺動脈弁の狭窄および狭窄部後部拡張が認められます。

  • 図7 狭窄部位の血流速729.3m/sec、圧較差212.8mmHg

  • 図8 亢進した右心室の圧力で左心室が圧迫されています。


動脈管開存症(PDA)

胎生期に大動脈と肺動脈をつなぐ動脈管(ボタロー管)が出生後にも閉鎖・退行せず、血液の交通が起こっている病態です。 特徴は心臓の収縮期・拡張期ともに認められる雑音(連続性雑音)です。急性の左心不全に陥ったり、肺高血圧症を起こしたりし、放置すると予後を悪化させます。 肺高血圧症を合併していなければ外科手術により根治が見込める疾患ですが、他の先天性心疾患と合併している場合もあり的確な診断が重要になります。
下記は当院での実際の症例です。ワクチン接種時の健康診断にて連続性心雑音が聴取され、検査を行い診断し、外科手術を行い完治した症例です。

※画像はクリックすると拡大されます。

  • 図9 肺動脈内の連続性のある異常血流

  • 図10 ※印のところが動脈管です。

  • 図11 動脈管に結紮糸をかけたところ


その他にも大動脈弁狭窄、ファロー四徴症、エプスタイン奇形などを含む三尖弁形成不全など数多く存在します。