院長ブログ/ BLOG
フィラリア症による大静脈症候群
いつもご訪問いただきありがとうございます。
つい先日、フィラリアが原因して起こるベナケバシンドローム(VCS,別名;大静脈症候群)を起こしている患者さんの来院がありました。
VCSとはフィラリアの虫体が心臓の弁(右房室弁)に絡まり、循環不全と重度の貧血を起こす病態で、赤から黒色の尿(血色素尿)が特徴的な疾患です。放置しておくとかなりの確率で死に至ります。もし、こうなってしまったらどうするか?答えはは外科的に絡んでいる虫体の除去が必要になります。本当にフィラリアという病気は恐ろしいものです。
フィラリアという病気の予防は他の病気と違い定期的な予防(経口薬だと1ヶ月に1度の投薬)が必要となり、それを継続しないと予防ができません。そういったところから飲ませ忘れなどがあったりするとフィラリア症に感染してしまうリスクが高くなります。
フィラリア症の予防薬というのは基本的に駆虫薬で蚊に刺されて入ってきたフィラリアの幼虫(刺されて1ヶ月くらいまで)を駆除しています。投薬間隔が長すぎると、フィラリアの幼虫がフィラリア予防薬では駆虫できないくらいまで成長します。そうするとフィラリアに感染してしまうのです。最後まで油断の無いようしっかりフィラリア予防をいたしましょう!!
猫の心臓病
これは猫の肥大型心筋症における僧帽弁の収縮期前方運動(SAM)をMモードでとらえたものです。これが起こると左心室から大動脈に血液を送るルートを狭窄し、2次的に大動脈弁狭窄を起こしたり、僧帽弁逆流を起こしたりします。この症例は生後8ヶ月で心雑音に気付き今で治療開始からちょうど1年経過しております。内服を毎日投薬してもらってるおかげで以前あった僧帽弁逆流は消失し、僧帽弁逆流のためうっ血気味であったのも今は改善しております。ただ、このSAMは心臓の筋肉の異常からくる2次的なものなので完全に消失はしておりません。
猫の心疾患は犬よりも臨床症状が出始めると救命率が著しく悪いように思えます。若いから大丈夫という訳ではなく先天的な要因が原因して起こる心疾患もあります。これから寒さも一層増してきます。心疾患を基礎疾患にもつ動物には厳しい季節がやってきます。心臓の異常を以前指摘されたことのある飼い主さんはもちろんのこと気になる方は一度かかりつけの病院の先生にご相談されることをお勧めいたします。
冬に悪化する病気
いつもご訪問いただきありがとうございます。
今日は『冬に悪化する病気』と題しました。今回はそのなかでも循環器についてお話ししようかと思います。
実は先日、当院にワクチンを接種されに来院された患者さんの来院がありました。ワクチン時の身体検査から心雑音が聴取されたので、検査を行わさせていただくと、僧帽弁閉鎖不全という弁膜症をおこしていました。
(クリックすると大きくなります。)
僧帽弁の前尖(赤丸で囲っているところ)が変性を受け肥大しています。
これにより、この部位からの血液の左心房内への逆流が起こっています。
この症例は今のところ、臨床症状(発咳、運動不耐など)はまったく起こしていません。
心臓病の初期というのは大抵無症状で経過します。それは、心臓にトラブルが出ても初期は心臓の代償作用で補われるからです。しかし、その代償性の作用が後々の症状の悪化を引き起こし、臨床症状を引き起こしてくるのです。こうなったら、もう、心不全です。冬場は抹消の毛細血管という血管が収縮しており、心臓の負担が増します。ということは循環器疾患を基礎疾患に持つ子にとってはとても厳しい季節になります。
心臓の代償作用はいつ破綻するか分かりません。じゃあ何を行えば良いのか?それは症状の出てないうちからの治療です。進行して重度の状態からの治療は多くの薬を必要とするケースがほとんどです。そして、その効果が得れなく亡くなってしまう動物もいます。ただ、早期からの治療であれば軽度の治療で良い状態を長く続けてあげることができます。
今回、検査を受けていただいた飼い主様には上記の話を理解していただいて初期のお薬ですが、血管を広げ心臓の負担を取ってあげるお薬からスタートさせていただきました。
以前、循環器疾患に関して指摘されたことのある方はかかりつけの動物病院にご相談されると良いかもしれません。
副腎疾患
ご訪問いただきありがとうございます。
今回は副腎疾患、なかでも副腎皮質機能亢進症についてお話しようかと思います。以前、副腎皮質機能低下症の症例についてご紹介したと思いますが、今回はその逆の症状です。
副腎で作られるホルモンには大きく2つあって1つは糖質コルチコイド、もう1つは鉱質コルチコイドというホルモンです。
どちらも、生体にとっては重要な働きをしており、分泌量が少なすぎても多すぎても問題になります。
副腎皮質機能亢進症は副腎から分泌されるホルモン(主に糖質コルチコイド)が分泌過多になり、様々な臨床症状を呈します。
まず、代表的な症状としては多飲多尿(お水をたくさん飲んで、おしっこを大量にする)があります。他にも、軟部組織の石灰化、骨格筋の萎縮、血栓症、細菌感染の憎悪、糖尿病などがあります。
特に血栓症、細菌感染の憎悪、糖尿病は予後を著しく悪化させ、それが原因で死亡することがあります。
原因は脳下垂体にあることがほとんどですが、副腎の腫瘍が原因でも起こります。根治的な治療はなかなか難しい病気(特に下垂体性の場合)ですが、ホルモンによる2次的な併発疾患を抑えることにより、QOLの向上を図ることはできます。
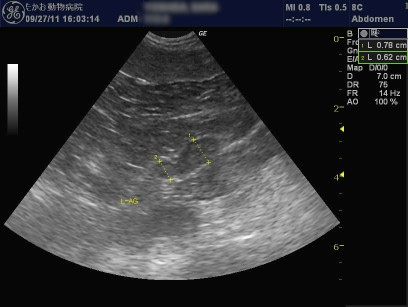
下記のエコー像は最近、当院にて副腎機能亢進症と診断した症例のものです。副腎の厚さが増加しているのが分かります。(特に右)

後肢の痛み、跛行
昨日、最後に来院のあった症例です。
1ヶ月前より後肢の痛み(右)と跛行を主訴に来院。
身体一般検査より右大腿部の腫脹あり、X-ray撮影を行うと・・・
右腸骨翼の骨崩壊像があり
腰骨下リンパ節の腫大も確認されました。
詳細な検査はまだ行っておりませんが、こういった所見を呈する病気で一番疑わしいものは腫瘍性疾患です。
跛行を呈して、痛みを伴う病気は何も骨折や、関節疾患だけではありません。腫瘍が関連している起こることもあります。もしそうであれば、動物の予後に大きく影響します。
経過の長い跛行は一度かかりつけの先生にご相談されることをお勧めいたします。
か、痒い・・・
皮膚を痒がるとのことで来院されたチワワさん・・・
飼い主さんの話によると、市販のノミ予防薬をしているがノミがいてお尻のところがこんな風になってしまって、ものすごく痒がっているとのこと・・・
たしかにコレは痒そうですね~。自分で皮膚を咬んで急性湿疹になっているところもあります。
早速、院内にてノミ駆除剤を塗布し、お薬にて治療です。
きっちりと効果のある駆除剤(駆虫効果があり、長期間効果が持続するもの)などを用いて予防すれば、ノミ性の皮膚炎になることはそう滅多にありません。
大切な動物がノミによる皮膚炎の痒みで悩まないでいいようにしてあげたいですね?